 
        
      インプラントはあなたの生活の質を向上させます
まるで自分の歯と同じように、問題なく食べ・笑い・話すことができます。
入れ歯は金具が見える可能性がありますが、インプラントは天然の歯に近い見た目なので違和感もほぼありません。
また、健康な成人であれば、年齢制限はございません。
約30年間に及ぶ治療実績があり、すべて科学的な記録が残されているため、安心して受診いただけます。
タイトル説明文サンプル
HOME ≫ インプラント ≫
 
        
      インプラントはあなたの生活の質を向上させます
まるで自分の歯と同じように、問題なく食べ・笑い・話すことができます。
入れ歯は金具が見える可能性がありますが、インプラントは天然の歯に近い見た目なので違和感もほぼありません。
また、健康な成人であれば、年齢制限はございません。
約30年間に及ぶ治療実績があり、すべて科学的な記録が残されているため、安心して受診いただけます。
当院では、患者様に安心・安全にインプラントの手術を受けて頂くためにCT撮影をおすすめしております。
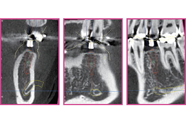
難症例でもインプラント治療を成功させるために、当院では最新のインプラントシュミレーションソフトiCATを用いてより精密な分析を行っています。
撮影させて頂いたCTを当院が導入している分析ソフトiCATを用いて、CTで得られた情報を3D化します。
構成された仮想空間にインプラントを仮置きして、シミュレーションすることによって、どの位置にインプラントを埋入すれば最適なのかを判断出来ます。
 
         
        難症例でもインプラント治療を成功させるために当院では最新のインプラントシュミレーションソフトicatを用いてより精密な分析を行っています。
 
         
         
         
         
        世界ではじめてicatシステムが可能にした「インプラント断面」により精度の高いインプラントシミュレーションを実現
 
         
         
         
         
         
        
      歯がなくなった場合には、インプラント、ブリッジ、入れ歯の3つの治療方法があります。
 
        
      【長所】よく咬める。自分の歯が一本増える。
【短所】自費診療になる。骨がないと難しい。
 
        
      【長所】よく咬める。保険が効く。
【短所】欠損している部位の隣の歯を削る必要がある。隣の歯に負担がかかる。
 
        
      【長所】隣の歯をあまり削らなくて済む。保険が効く。
【短所】よく咬めない、異物感が強い。お年寄りのイメージがある。
 
        
      当院ではCGFを用いた再生療法に対応しております。
怪我をすると出血を止めるため、血液中の凝固因子が刺激されフィブリンという物質が形成されます。これが傷口をふさぐことで出血を止め、傷の治りを促進します。CGFはこの原理を応用した治療法です。患者自身の血液を採取し、それを専用の遠心分離機にかけることで、血小板や成長因子が濃縮されたゲル状のフィブリンを生成します。それを挙上した上顎洞底膜下に入れて骨を再生したり、膜にしてGBR時に使用したりします。PRPは抗凝固剤などの添加物を必要とするのですが、CGFは添加物を一切用いません。また完全自己血であることから、交差感染リスクがなく、外科感染のリスクもほとんどありません。術後の痛みの軽減や傷の治りを早くするなど、さまざまなメリットもありますので、歯科業界では注目が集まっています。
 
        
      当院ではソケットリフトに対応しております。
上顎臼歯部で残存歯槽骨の高さが十分ではない症例があり、そのような場合には上顎洞挙上術により骨造成を行い、インプラントを埋入します。歯槽骨頂からのアプローチ法は、サイナスリフトの代わりとなる低侵襲な方法です。従来のオステオトームを用いたソケットリフトでは、槌打操作による患者への大きな負担が欠点でしたが、当院で採用している器具により、シュナイダー膜に損傷を与えることなく安全に手術をサポートします。
ソケットリフトには、「インプラントを埋入する穴から直接骨造成を行うので体への負担が少ない」「手術時間が短い」等のメリットがあります。
 
        
      GBR(骨誘導再生)法とは、欠損した歯槽骨や顎骨などの骨組織の再生を促す治療方法です。インプラントを埋め入れるために十分な骨の量がない場合などに行われrます。
あごの骨が少なくインプラント治療を諦めていた方も、この手術を受ければ治療が可能になる場合があります。
虫歯や外傷で歯が抜けてしまったり、歯周病などで歯槽骨が溶けてしまうと、イラストのようにインプラントを埋め入れる必要な骨量が足りなくなります。
点線部分は本来あった歯槽骨の厚みです。歯を失ってから時間が経過している場合、周囲の歯槽骨(しそうこつ)が吸収され、骨が吸収して痩せていきます。
出典:インプラントネット
GBR(骨造成・骨誘導再生)治療の流れをイラストでわかりやすく紹介します。
 
        
      イラストは、歯槽骨が吸収され、インプラントの表面が露出している状態です。十分な骨量を確保するためにGBR(骨誘導再生)など骨を足す治療が必要でしょう。
 
        
      再生させたい骨組織をインプラントを支柱にして、人工メンブレン(専用の膜)で覆うことで、骨組織の誘導再生を可能にします。 また、人工メンブレンは歯肉(上皮組織)由来の細胞混入を防ぎます。人工メンブレンが動かないように固定用のピンを使用する場合もあります。
 
        
      人工メンブレンの設置が完了したら、切った歯肉を縫って骨の再生を待ちます。この期問は、術部に必要以上の刺激を与えないよう注意が必要です。骨の再生速度に個人差はありますが、一般的には4~6ヵ月程度で再生されるといわれています。
 
        
      骨が再生され、インプラントがしっかり固定されたら、人工の歯(上部構造、被せ物)を装着します。新しく骨が再生されたことで、歯肉の見た目の形態も良くなります。
出典:インプラントネット
 
        
      〒561-0802 大阪府豊中市曽根東町1-8-8 植村ビル3F
電話でのご予約 06-6850-8881